> Перейти на ГЛАВНУЮ Акне новорождённых: что делать, что помогает, аОпубликовано: 15.9.2017
. ОК с анти андрогенным действием. Изучайте вопрос не только на форумах, но и у специалистов медиков в том же инете вобщем ищите инфу. Форумам не доверяйте особо, здесь ведь не спецы каждый только лично свой опыт может рассказать. Кроме угревой сыпи, правильно говорят, бывают прыщи от зашлакован ности кишечника. Следите, чтобы проблем с кишечником не было. К дерматологу сходить всетаки нужно, пусть поставит диагноз, если угревая болезнь, то как я сказала причины две гормональная и плохой бактериальный состав кожного сала.
К сожалению дерматологи у нас какието старорежимные в этих вопросах.
Одна прописала дочке механические чистки и болтушки присыпки всякие сначала лучше стало, а потом такое началось. Нельзя ничего давить инфекция под кожей разносится дальше и дальше. Гороскоп совместимости онлайн. Простые прически своими руками. Пожаловаться на это сообщение. 
Информация. Нельзя ничего давить инфекция под кожей разносится дальше и дальше. не знаюя только чистками и спасаюсь правда, поры быстро снова забиваются, но по крайней мере при регулярных чистках удается избежать воспалений кожа портится тогда, когда я надолго отказываюсь от этой процедуры на меси болеедругое дело, что многие чистят недобросовестно. Я все время хожу в один салон, там косметолог вычищает все, работает долго, но аккуратноно однажды не получалось попасть именно туда, а мне нужно было срочно сделать чистку, пошла в другое место, более раскрученное. Длилось это минут, больно было так, что я чуть не откопытилась, а результат просто никакой оказался. Нумерология имени онлайн бесплатно. Женские ошибки во время секса. Какой секс вам нужен. Пожаловаться на это сообщение. Сб дек причины две гормональная и плохой бактериальный состав кожного сала. Именно эти проблемы надо решать сначала. Если причина гормональная, то косметолог практически бессилен. При чем не всегда при акне находят по гормонам отклонения хотя сдавать все равно обязательно, бывает так что у фолликулов повышенная чувствительность и к нормальному уровню андрогенов. Ошибочно думать что прыщи изза гормонов могут быть только в подростковом возрасте, женщины любого возраста всегда в группе риска. Нельзя ничего давить инфекция под кожей разносится дальше и дальше. Особенно воспаленные прыщи с гнойным содержимым. Как определить свой оптимальный вес. Гормональный сбой у женщин. Определение зоный феншуй в квартире.
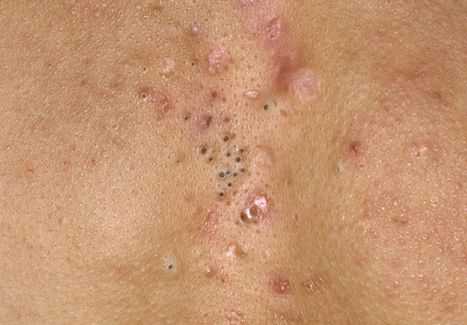
Пожаловаться на это сообщение. Сб дек писала писала. Нельзя ничего давить инфекция под кожей разносится дальше и дальше. не знаюя только чистками и спасаюсь правда, поры быстро снова забиваются, но по крайней мере при регулярных чистках удается избежать воспалений кожа портится тогда, когда я надолго отказываюсь от этой процедуры на меси болеедругое дело, что многие чистят недобросовестно. Я все время хожу в один салон, там косметолог вычищает все, работает долго, но аккуратноно однажды не получалось попасть именно туда, а мне нужно было срочно сделать чистку, пошла в другое место, более раскрученное. Длилось это минут, больно было так, что я чуть не откопытилась, а результат просто никакой оказался. Чистки можно делать от черных точек, но ни когда и более покрыто воспаленными молниеностными угрями, да если еще с папулами и пустулами будет только хуже. Могут образоваться кисты сальных желез под кожей образуются так называемые кистозные полости, наполненные гноем. Если таких областей много, они сливаются и такие горные цепи красных прыщей тяжелая форма акне. Последний раз редактирова лось. Сб дек всего редактирова лось раз. Как достичь оргазма. Муж изменяет, что делать. Самые опасные диеты. Пожаловаться на это сообщение. Чистки можно делать от черных точек, но ни когда и более покрыто воспаленными молниеностными угрями, да если еще с папулами и пустулами будет только хуже. Ну это понятно, я не имела в виду такие тяжелые случаи. У меня кожа достаточно проблемная, но не настолько, ттт. Простые рецепты с фото. Совместимость имен. Гороскопы и хиромантия. Пожаловаться на это сообщение. Сб дек писала писала. Чистки можно делать от черных точек, но ни когда и более покрыто воспаленными молниеностными угрями, да если еще с папулами и пустулами будет только хуже. Ну это понятно, я не имела в виду такие тяжелые случаи. У меня кожа достаточно проблемная, но не настолько, ттт. Автор темы как раз на тяжелый случай жалуется. Добавлю что может получиться. Кисты сальных желез. Под кожей образуются так называемые кистозные полости, наполненные гноем. Если таких областей много, они сливаются и образуют горные цепи красных прыщей тяжелая форма акне. Как доставить мужчине удовольствие. Тест на определение цветотипа. Подбери купальник онлайн. Пожаловаться на это сообщение. Автор темы жалуется на то, что её достали прыщи. Моя подруга, у которой раз в месяц прыща на носу вскакивает, тоже на это жаловалась. Меня, например, они тоже достали жутко, а у меня опять же их немного только на подбородке глубокие иногда ещё гденибудь появляются, но быстро проходят. Проблема может быть сильно преувеличена. Календарь беременности онлайн. Пожаловаться на это сообщение.
Информация.
Если причина гормональная, то косметолог практически бессилен. Не совсем согласна. Выбросы гормонов в подростковом возрасте это не болезнь, а естественный процесс. Но попутно этому возникают побочные эффекты увеличивается жирность кожи, но если бы сало свободно выходило из поры воспалений бы не было, закупорка пор не дает выхода, бактерии в сальной железе размножаются, что и приводит к воспалению. При нетяжелой форме угрей наружного лечения вполне достаточно правильный уход, теборьба с закупоркой пор. Дифферин, кислоты борьба с бактериями. При тяжелой степени, если женщины спасаются гормональными средствами с анти андрогенным действием, то мужчинам, которые в молодом возрасте тоже часто страдают от угревой болезни, понятно, что такими средствами пользоваться нельзя. Тепричина гормональная но гормональное лечение невозможно. При тяжелой степени выписывают антибиотики внутрь, ткглавная причина угревой болезни плохой бактериальный состав кожного сала и закупорка пор.
При чем не всегда при акне находят по гормонам отклонения хотя сдавать все равно обязательно, бывает так что у фолликулов повышенная чувствительность и к нормальному уровню андрогенов. Конечно, на фоне генетически обусловленной жирной кожи к этому может привести и просто неправильный уход или комедоно генная косметика.
Закупорказабитие пор бактерии, размножающиеся во вкусном кожном сале результат на лицо. |